CASO CLINICO: Pulpotomia completa con Biodentine™ XP – Dott.ssa Kreena Patel

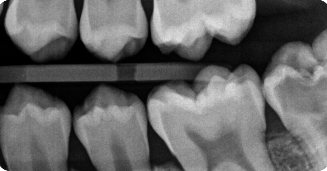
Il caso clinico presentato riguarda un bambino di 13 anni che presentava un difetto riassorbitivo non comune chiamato riassorbimento intracoronale pre-eruttivo (PEIR) e una carie che comprometteva il secondo molare inferiore. È stata eseguita una terapia pulpare vitale per conservare il dente e mantenere lo sviluppo della radice.

Potrebbero interessarti anche

Registrati gratuitamente
1/4 Scegli i dati di accesso

La password deve contenere almeno

8 caratteri

Un numero e una lettera

Un carattere speciale

2/4 Inserisci le vostre informazioni personali
4/4 Confermare

Registrati gratuitamente
Iscriviti ora e ottieni un accesso esclusivo a:
  • Webinar dal vivo e repliche di webinar per imparare dai migliori relatori in odontoiatria.
  • Contenuti didattici in vari formati (articoli, podcast, casi clinici, video e altro) per migliorare le tue competenze e raggiungere il successo aziendale.
  • Il nostro programma Voice of Customer per contribuire alla creazione di prodotti innovativi che rispondono alle tue esigenze.
Creare un account
Iscriviti ora Sei già un membro? Effettua il log-in!
Hai dimenticato la password?
Inserisci il tuo indirizzo e-mail qui sotto.
Ti invieremo un link per reimpostare la password via e-mail.
Annullamento
Iscriviti alla nostra newsletter

Benvenuto al sito web di Septodont!

Questo sito è destinato esclusivamente a operatori professionali e pertanto, per visitarlo, dichiaro sotto la mia responsabilità di essere un operatore sanitario.

Non sono un operatore sanitario